インプラントImplant
デンタルオフィス鷺沼では、インプラント治療にも対応しております。
こちらでは、インプラントについて詳しくご案内いたします。
インプラントのご紹介
インプラント歯とは
失った歯を補うために、顎骨(上顎骨・下顎骨)にチタン合金製の人工歯根を埋め、
そこから顎骨上に出た円柱状の金属部分に歯肉のラインに沿って
人工歯(セラミック・金属歯等)をかぶせて歯の代りにする治療法です。
ご自分の歯とほぼ同様の感覚で食べ物を咬むことができます。
人工とはいえ、天然の歯と同じで歯冠と歯根が存在するため、まさに天然歯と遜色ない使用感です。
従来の方法は、失われた歯の両脇の歯を削ってブリッジをかける方法か、
取り外し式の入れ歯(義歯)のどちらかの方法でした。
どちらも歯が抜けた部分だけの処理では、人工歯が口の中で維持・機能できないため、
削った隣接歯にかぶせ物(金属冠等)をしたり、金具(クラスプ)を引っかけたりで、
装置が大きくなってしまいがちです。特に義歯では反対側の口の中まで装置が伸びることがあります。
そして、維持を求められた歯は、当然ですが負担が増大します。
そうでなくとも、年単位でやがてむし歯・歯周病に陥り、抜歯を余儀なくされるケースも往々にして起きて来てしまいます。
それに対し歯科インプラント治療は、失われた歯の部位の顎骨のみで処理できる治療法です。
ブリッジや入れ歯のような付属物も必要なく、実質はほとんど天然歯と変わらない状態が得られます。
インプラントの対費用効果と従来方法との比較
インプラント治療にかかる費用ですが、かぶせ物(被覆冠)まで入れますと、1本30万〜50万円ほどかかってきます。
ただし一度入れれば、メンテナンスを怠らない限りずっと歯と同様に咬め、健全な食生活が営まれるという大きなメリットがあります。
もちろん、入れ歯やブリッジでも長い間良好に使われている方も多々いらっしゃいます。
ただ一方で、下記のような苦労を強いられ、食生活がまともに送れない方が多いのも事実です。
- 土手(顎堤)に当たって痛い・土手が押されて沈下し、食べ物が入るようになった
- すり減ってよく食べ物が潰せない
- 入れ歯が破損・割れてしまった
- 金具が折れてしまった
- 金具がかかっている歯(維持歯)に負担がかかりすぎて動揺し始め、入れ歯に力が入らなくなった
- 維持歯がむし歯になり、治療したら今度は入れ歯の金具が合わなくなった
- 入れ歯に汚れがこびり付いて取れない
- 入れ歯が臭う 等
ブリッジも同様に、下記のようなお悩みを抱えがちです。
- ブリッジの下や間に食べ物が頻繁にはさまる
- ブリッジ周囲の歯肉が腫れ上がってしまい、噛むたびに痛い
- ブリッジを支えている歯が痛くなり、ブリッジをつけていられない
このように、違和感や痛み・損傷などで結局入れ歯およびブリッジ全体が使用できなくなってしまい、
やがて総入れ歯(総義歯)に近づいていく方が数多く見受けられます。
良好に使用されている方でも、支えている歯が長い間に自覚の無いままむし歯や歯周病に犯されているケースがかなりあります。
そして入れ歯では、前述したように土台となる部分が押されて沈下するのと、人工歯がすり減るのとで、完全には食べ物をすりつぶせなくなります。
そうなると咀嚼力が落ち、結局残っている歯に偏って噛まざるを得なくなります。
そうこうしているうちに、耐えきれなくなった支えている歯がだめになり、いずれは総入れ歯に…という話は多くあります。
インプラントは周辺の歯に頼ることなく顎の骨を直接支えとして利用できるため、こういったことがありません。
決して安いものではございませんが、将来的な食生活の維持のための選択肢としてお考えください。
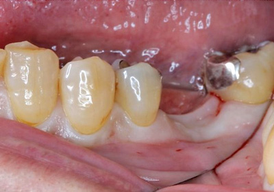
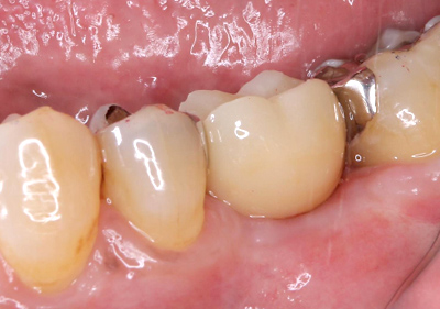
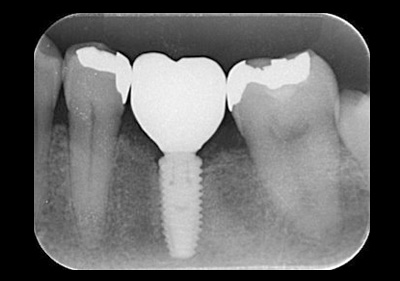
症例
インプラント(骨造成術あり)
費用:50万円
治療期間:12ヶ月
メリット:隣の歯を削らない。歯と同じように噛める。
デメリット:骨、歯肉の状態では外科処置を数回行う場合あり。
治療前![]() |
治療前レントゲン![]() |
|
治療中![]() |
||
治療後![]() |
治療後レントゲン![]() |
インプラント治療/ダイレクトボンディング
費用:右上前歯 インプラント治療 40万円/左上前歯 ダイレクトボンディング 3万円
治療期間:9ヶ月
メリット:見た目の改善。隣の歯を削らない。
デメリット:外科処置が必要。
治療前![]() |
治療後![]() |



















