審美歯科Esthetic dentistry

デンタルオフィス鷺沼での審美歯科治療について、詳しくご案内いたします。

歯をキレイにする治療で、美しい笑顔を

歯の見た目を直し、治療跡を目立たなくできます

審美歯科では、歯の見た目を良くすることでお口の美しさを保つための治療を行います。

例えば、保険適用の銀の詰め物などは、そのままではどうしても治療跡として目立ってしまいます。

こういった部分を本物の歯にそっくりなセラミック素材に変更したりすることで、見た目には治療を行った跡がわからなくなります。素材によっては劣化にも強く、長く違和感がない状態を維持できます。

対面で人とお話をする機会が多い方、例えばカウンセラーやキャビンアテンダント、営業職といったご職業の方には矯正とともに人気のある治療が審美歯科です。

具体的な費用や可能な処置につきましては歯の状況や素材によって異なってまいりますため、まずはご相談ください。

ホワイトニングについて

ホワイトニングとは、歯を白くするための治療法です。
専用の薬剤を利用し、歯の着色を漂白する方法が一般的です。

コーヒーや紅茶といった飲み物やトマトソース・イカスミ・カレーといった色の強い食べ物は、日々少しずつではありますが、歯の着色の原因となっています。

一度色素が沈着すると自然に回復することは難しく、ホワイトニングはこういった着色を元の歯の色に近づけることができます。

ただし、健康状態や持病によっては薬剤の使用が禁止されている場合もございます。
ご興味のある方、施術をご希望の方は、まずは当院までご相談ください。

 

症例

ダイレクトボンディング

費用:2本 50,000円(税別)
治療期間:1回
メリット:審美性、1回で終わる
デメリット:大きい虫歯には適さない。経年的に劣化する。

 
治療前
治療中
治療後
 

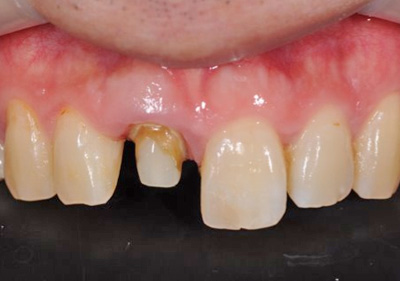
セラミック治療 (ジルコニアクラウン)/ダイレクトボンディング

右上前歯:セラミック治療(ジルコニアクラウン)
左上前歯:ダイレクトボンディング

費用:被せ物 13万円/ダイレクトボンディング 3万円
治療期間:2ヶ月
メリット:審美性に優れる
デメリット:脱離 歯牙破折

治療前
治療後

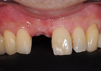
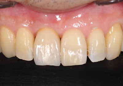
インプラント治療/ダイレクトボンディング

費用:右上前歯 インプラント治療 40万円/左上前歯 ダイレクトボンディング 3万円
治療期間:9ヶ月
メリット:見た目の改善。隣の歯を削らない。
デメリット:外科処置が必要。

治療前
治療後
症例集はこちら

 

診療について

審美歯科

審美歯科

歯を白くキレイにしたい

虫歯治療とは異なり、「歯を美しく見せる」 ことに重点を置いた歯科治療です。歯の変色を元に戻したり、詰め物や被せ物を天然の歯に近い見た目に直したり、内容は様々です。

 

マイクロスコープ

マイクロスコープ

精度の高い治療が可能

マイクロスコープを利用した治療は、肉眼と比べて非常に精密な処置が可能です。削る場所を最小限に抑えたり、通常の治療では見つからない問題を発見できることもあります。

 

矯正歯科

矯正歯科

歯並びを美しく・咬み合わせの改善

当院では矯正歯科にも対応しております。
お子様の矯正はもちろんのこと、成人向けの矯正も近年は可能になっています。諦めずにまずはご相談ください。

ページ
最上部
TOP
PAGE